Birçok kişi hayatının bir döneminde gömülü 20 yaş dişi kavramıyla tanışır. İlk başta masum gibi görünen bu durum, zamanla soru işaretleri ve kararsızlıklar yaratabilir. Acaba çekilmeli mi, yoksa beklemek mi gerekir? Her ağrı bir sorun mu demektir?
Bu yazıda, gömülü dişlerle ilgili en çok merak edilen konuları, sade, anlaşılır ve deneyime dayalı bir anlatımla ele alacağız. Amaç sizi korkutmak değil; bilinçlendirmek. Çünkü doğru bilgi, daha sakin kararlar almanızı sağlar.
Gömülü Diş Nedir?
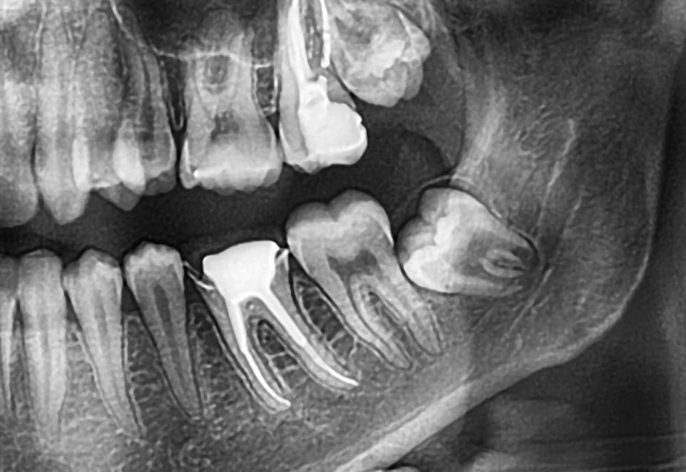
Gömülü diş, normal şartlarda ağız içine sürmesi gereken ancak çene kemiği ya da diş eti dokusu altında kalarak sürme sürecini tamamlayamayan diştir. En sık karşılaşılan gömülü dişler 20 yaş dişleridir. Bu dişler çoğunlukla çenede yeterli alan bulunmaması nedeniyle ağız içine çıkamaz; bazı durumlarda tamamen kemik içinde kalırken, bazı durumlarda ise kısmen sürmüş şekilde konumlanabilir.
Her gömülü diş mutlaka bir problem oluşturmaz. Ancak bazı vakalarda ağrı, diş eti enfeksiyonu, komşu dişlere baskı veya çürük oluşumu gibi ağız ve diş sağlığını olumsuz etkileyen durumlara yol açabilir. Bu nedenle gömülü dişlerin düzenli diş hekimi kontrolleri ile takip edilmesi ve gerekli görüldüğünde uygun tedavi yöntemlerinin planlanması önemlidir
20 Yaş Gömülü Dişin Belirtileri Nelerdir?
20 yaş gömülü dişin belirtileri çoğu zaman “bir anda” değil, yavaş yavaş kendini hissettiren şikâyetler şeklinde ortaya çıkar. Pek çok kişi bunu önce basit bir hassasiyet sanır. Arka tarafta, çenenin en sonunda ara sıra gelen künt bir ağrı olur; bazen günlerce kaybolur, bazen de çiğneme sırasında kendini hatırlatır. Özellikle sabahları çenede dolgunluk hissi ya da ağzı tam açarken oluşan rahatsızlık, kullanıcıların sıkça dile getirdiği ilk belirtiler arasındadır.
Bazı kişiler, dişin olduğu bölgede diş etinin kızardığını, şiştiğini ya da dokununca sızladığını fark eder. Yarı çıkmış gömülü 20 yaş dişlerinde ise yemek artıklarının o bölgede birikmesiyle kötü bir tat ve ağız kokusu oluştuğunu anlatan çok sayıda kullanıcı vardır. Zamanla ağrı kulağa, boğaza ya da çene eklemine doğru yayılabilir;
hatta bazen kulak ağrısı sanılarak farklı bir sorun olduğu düşünülür. İleri durumlarda ise çiğneme sırasında zorlanma, lenf bezlerinde hassasiyet ve genel bir rahatsızlık hissi yaşanabilir. Bu belirtiler genellikle gömülü 20 yaş dişinin çevre dokuları etkilemeye başladığının habercisidir.
En sık karşılaşılan belirtiler şunlardır:
-
Arka dişlerde baskı hissi
-
Diş etinde şişlik veya kızarıklık
-
Ağız açarken zorlanma
-
Zaman zaman gelen hafif ağrı
Bu belirtiler sürekli olmak zorunda değildir. Aralıklı rahatsızlıklar da gömülü dişe işaret edebilir.
Gömülü 20 Yaş Dişlerinin Çekilmesi Gerekir mi?
Gömülü 20 yaş dişlerinin mutlaka çekilmesi gerektiğine dair genel bir kural yoktur. Bu dişlerin çekilip çekilmeyeceği; dişin konumu, ağız içinde yarattığı etki ve kişide herhangi bir şikâyete neden olup olmamasına göre değerlendirilir. Hiçbir ağrıya, enfeksiyona veya komşu dişlere baskıya yol açmayan gömülü 20 yaş dişleri, düzenli kontrollerle takip edilebilir.

Ancak bazı durumlarda çekim gerekli hale gelir. Tekrarlayan ağrı, diş eti iltihabı, şişlik, ağız açmada zorlanma ya da yanındaki dişte çürük ve baskı oluşması, çekim kararını gündeme getirir. Ayrıca ileride enfeksiyon veya kist oluşma riski bulunan gömülü dişler de koruyucu amaçla çekilebilir. Bu nedenle en doğru karar, klinik muayene ve radyolojik değerlendirme sonrası diş hekimi tarafından verilmelidir.
Gömülü 20 Yaş Diş Çekimi Ameliyatı Nasıl Yapılır?
Gömülü 20 yaş dişinin çekimi, ilk duyulduğunda çoğu kişide endişe uyandırsa da, aslında planlı ve kontrollü ilerleyen bir işlemdir. Buradaki temel amaç, çevre dokulara zarar vermeden sorun oluşturan dişe güvenli şekilde ulaşmak ve onu ağızdan uzaklaştırmaktır. Her hastanın diş yapısı farklı olduğu için işlem adımları kişiye göre şekillenir; bu da sürecin standart değil, bireysel olmasını sağlar.
Diş Muaynesi ve Teşhis Süreci
Çekim süreci detaylı bir muayene ile başlar. Röntgenler yardımıyla dişin çene kemiği içindeki konumu, sinirlerle olan mesafesi ve çevre dokularla ilişkisi değerlendirilir. Bu aşama, yapılacak işlemin sınırlarını belirleyen en kritik adımdır. Doğru planlama, hem işlemin süresini kısaltır hem de iyileşme sürecini olumlu etkiler.
Ameliyat İçin Lokal Anestezi
Çekim genellikle lokal anestezi altında gerçekleştirilir. Anestezi uygulandıktan sonra işlem yapılan bölge tamamen uyuşur; kişi ağrı hissetmez ancak bilinci açıktır. Bazı hastalarda uyuşukluk hissi daha yoğun ya da daha hafif olabilir, bu durum tamamen bireysel farklılıklardan kaynaklanır ve normal kabul edilir.
Ameliyathaneye Alınma Süreci
Basit konumda olan gömülü dişler klinik ortamda rahatlıkla alınabilirken, daha derinde konumlanmış veya sinirlere yakın dişlerde ameliyathane koşulları tercih edilebilir. Bu karar, hastanın güvenliği ve işlemin konforu açısından verilir. Amaç, süreci en kontrollü ve risksiz şekilde tamamlamaktır.
Çene Kemiğine Ulaşılarak Dişin Çıkarılması
Diş tamamen ya da kısmen kemik içinde yer alıyorsa, dişe ulaşmak için çene kemiği kontrollü şekilde açılır. Bu işlem, sanıldığı gibi sert ve zorlayıcı değil; milimetrik ve planlı bir müdahaledir. Gerekli durumlarda diş küçük parçalara ayrılarak çıkarılır, böylece çevre dokular korunur.
Damağın Dikiş İle Kapatılması
Gömülü 20 yaş dişi çekimi sonrasında, dişin alındığı bölgenin sağlıklı şekilde iyileşebilmesi için damak dokusu dikiş ile kapatılabilir. Bu işlem, çekim sırasında açılan yumuşak dokunun kontrol altına alınmasını ve kanamanın durdurulmasını amaçlar. Aynı zamanda açık kalan alanın dış etkenlerden korunmasına yardımcı olarak iyileşme sürecini daha düzenli ve konforlu hale getirir.
Dikiş atılması işlemi genellikle kısa sürer ve işlem tamamlandıktan sonra bölgede gerginlik hissi oluşması normal kabul edilir. Kullanılan dikişler kendiliğinden eriyebilen türde olabileceği gibi, bazı durumlarda belirli bir süre sonra alınması gereken dikişler de tercih edilebilir. Damağın dikişle kapatılması, enfeksiyon riskini azaltır ve dokuların olması gereken şekilde birleşmesini sağlayarak çekim sonrası iyileşmeyi destekler.
Her Gömülü 20 Yaş Dişi Çekilir mi?
Her gömülü 20 yaş dişinin mutlaka çekilmesi gerekmez. Bu dişlerin çekim kararı, yalnızca gömülü olmalarına bakılarak verilmez; dişin konumu, çevre dokularla ilişkisi ve kişide herhangi bir şikâyete neden olup olmadığı birlikte değerlendirilir. Hiçbir ağrıya, enfeksiyona ya da komşu dişlere zarar vermeyen gömülü 20 yaş dişleri, düzenli kontrollerle takip edilebilir.
Ancak ağrı, tekrarlayan diş eti iltihabı, şişlik, ağız açmada zorlanma veya yanındaki dişte çürük ve baskı oluşturması gibi durumlarda çekim gerekli hale gelir. Ayrıca ileride sorun çıkarma riski yüksek olan, temizlenmesi mümkün olmayan ya da kist oluşumuna zemin hazırlayan gömülü dişler de koruyucu amaçla çekilebilir. Bu nedenle en doğru yaklaşım, klinik muayene ve radyolojik inceleme sonrası diş hekimi tarafından kişiye özel olarak belirlenir.
Ana Sinire Yakın Dişleri Gömülü Dişleri Çektirmek Riskli mi?
Ana sinire yakın konumlanmış gömülü dişlerin çekimi, diğer gömülü dişlere kıyasla daha fazla dikkat ve planlama gerektirir. Alt çenede bulunan ve dudak, çene ile dişlerin hissini sağlayan ana sinir (inferior alveolar sinir), bazı gömülü 20 yaş dişlerine oldukça yakın seyredebilir. Bu durum, çekim sırasında sinirin etkilenme riskini gündeme getirse de, doğru değerlendirme ve uzman yaklaşımı ile bu risk büyük ölçüde kontrol altına alınabilir.
Çekim öncesinde alınan detaylı röntgenler ve gerekirse üç boyutlu görüntüleme yöntemleri sayesinde diş ile sinir arasındaki mesafe net olarak belirlenir. Sinire çok yakın vakalarda, dişin tamamının çıkarılması yerine yalnızca sorunlu kısmının alınması gibi alternatif yöntemler tercih edilebilir. Deneyimli bir ağız, çene ve diş cerrahı tarafından yapılan işlemlerde kalıcı sinir hasarı riski oldukça düşüktür. Bu nedenle ana sinire yakın gömülü diş risklidir demek yerine, “özel planlama gerektirir” demek daha doğru bir yaklaşım olacaktır.
Gömülü Dişimi Çektircem Karar Veremiyorum Ne Yapmalıyım?
Bu kararsızlığın yaşanması çok normal. Gömülü diş çekimi, özellikle ilk kez duyulduğunda insanın kafasında pek çok soru işareti oluşturabiliyor. “Şimdi çektirsem mi, biraz daha beklesem mi?”, “Ya gereksizse?” ya da “Sonra daha mı zor olur?” gibi düşünceler çoğu kişinin ortak noktası. Burada önemli olan, tek başına karar vermeye çalışmamak.
İlk adım mutlaka detaylı bir diş hekimi muayenesi ve röntgen değerlendirmesi olmalı. Dişin konumu, çevre dokulara ve sinirlere yakınlığı, şu an ya da ileride sorun çıkarma ihtimali net olarak görülmeden sağlıklı bir karar vermek zor. Eğer diş ağrı yapıyor, sık sık şişlik veya enfeksiyon oluşuyorsa ya da yanındaki dişe zarar veriyorsa, çekim genellikle ertelenmemesi gereken bir seçenek haline gelir.
Eğer şu an belirgin bir şikâyetin yoksa, ikinci bir uzmandan görüş almak da seni rahatlatabilir. Bazen “takip edilebilir” denilen bir diş gerçekten uzun yıllar sorunsuz kalabilir. Önemli olan korkuyla değil, bilgiyle hareket etmek. Sorularını açıkça sormaktan çekinme, süreci ve riskleri anlayarak karar ver. Unutma, doğru zamanda ve doğru planlama ile yapılan bir çekim, ertelenmiş ve sorun büyümüş bir çekimden çok daha konforlu olur.
Sinire Yakın 20 Yaş Dişini Klinikte mi, Hastanede mi Çektirmeliyim?
Sinire yakın konumlanmış 20 yaş dişlerinin çekim yeri, dişin zorluk derecesine ve olası risklere göre belirlenir. Bu tür dişlerde asıl önemli olan yer değil, planlama ve işlemi yapacak hekimin deneyimidir. Bazı sinire yakın dişler, gerekli görüntüleme yapıldıktan sonra donanımlı bir klinik ortamında güvenle alınabilirken, bazı vakalarda hastane şartları daha uygun olabilir.
Eğer diş sinire çok yakınsa, gömülü konumu karmaşıksa ya da uzun sürecek bir cerrahi öngörülüyorsa hastane ortamı tercih edilebilir. Hastaneler; ileri görüntüleme imkânları, ameliyathane koşulları ve gerektiğinde anestezi seçenekleri sunması açısından avantaj sağlar. Özellikle genel anestezi ya da sedasyon düşünülüyorsa, hastane ortamı daha güvenli bir seçenek haline gelir.
Buna karşılık, sinire yakın olsa bile deneyimli bir ağız, çene ve diş cerrahı tarafından değerlendirilen ve komplikasyon riski düşük görülen vakalar, tam donanımlı özel kliniklerde de rahatlıkla yapılabilir. Burada belirleyici olan; hekimin bu tür vakalardaki tecrübesi, çekim öncesi yapılan detaylı radyolojik değerlendirme ve olası risklerin hasta ile açıkça paylaşılmasıdır. Kısacası “klinik mi, hastane mi?” sorusundan önce, “kiminle ve nasıl?” sorusuna net bir cevap vermek en doğru yaklaşım olacaktır.
Bknz : Gömülü Diş
Bilgilendirme:
Bu içerik bilgilendirme amaçlı hazırlanmış olup tanı ve tedavi niteliği taşımamaktadır.